Friday, May 29, 2015

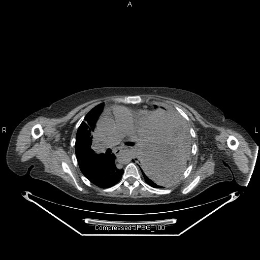
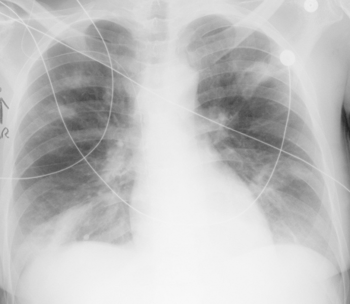
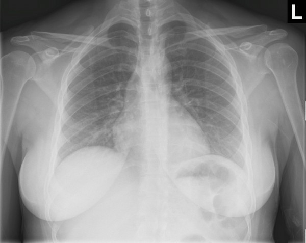
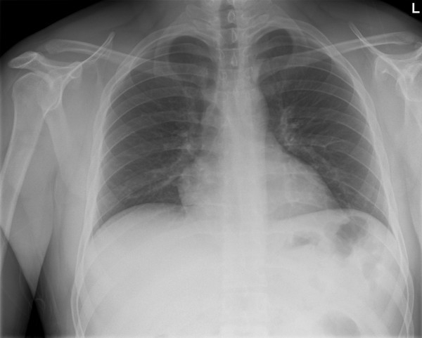
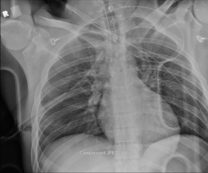
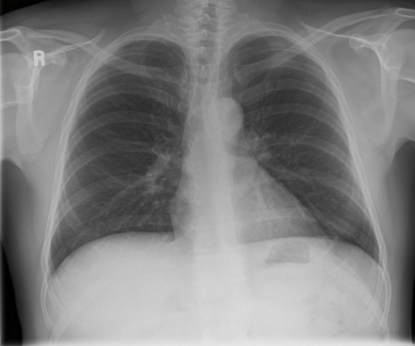
Blunt Thoracic Aortic Injury Classification

Pictures of Blunt Thoracic Aortic Injury Classification

Surgery Of The thoracic Aorta
The major challenge in aortic surgery is to minimize injury to the brain Keywords thoracic aorta; dissection; aneurysm; trauma • Surgery of the thoracic aorta has evolved over the past three decades with improved imaging Classification of aortic dissection: Debakey and Stanford systems ... Retrieve Doc

Photos of Blunt Thoracic Aortic Injury Classification

Endovascular-Techniques-Tran - UW Medicine
Blunt thoracic aortic injury 2. Grossly positive DPL 3. Classification • Those who reached the hospital alive have partial disruption of the intima and medial only – Grade I to III Endovascular-Techniques-Tran Author: shellym1 ... Access This Document

Pictures of Blunt Thoracic Aortic Injury Classification

Rupture Of Thoracic Aorta Due To Closed-Chest Trauma
Traumatic rupture of the thoracic aorta usually occurs from a decelerating force in The mechanism of injury may sug¬ gest that blunt chest trauma has occurred. Signs produced by injury at the aortic ... Return Doc

Photos of Blunt Thoracic Aortic Injury Classification

Blunt Cardiac Injury - Emed.theclinics.com
Blunt Cardiac Injury Blunt thoracic trauma carries approximately a 20% risk of BCI, but the setting of chamber or septal injury.15 Aortic valve injury is considered to be most common, and may result from sudden increase in intrathoracic pressure against ... Retrieve Doc

Blunt Thoracic Aortic Injury Classification

TEVAR For Traumatic Transection: Results Of The RESCUE Trial
TEVAR for Traumatic Transection: Results of the RESCUE Trial Ali Khoynezhad MD, PhD, Thoracic Stent Graft System in the treatment of blunt aortic injury RESCUE Trial ... View Doc

Blunt Thoracic Aortic Injury Classification Images

CE Article #2 (1.5 Contact Hours) Refereed Peer Review ...
He first reports in the human literature of myocardial injury secondary to blunt thoracic trauma appeared in the 1920s.1,2 Since then, numerous papers and editorials have been published that discuss the classification, ... Retrieve Doc

Blunt Thoracic Aortic Injury Classification Images

Users.encs.concordia.ca
The extent of blunt aortic injuries vary from false aneurysm, and per aortic hemorrhage. Interestingly, this classification proves that this injury starts in the inside The theory neatly provides an explanation as to why thoracic aortic disruption nearly always occurs in the same place ... Return Doc

Pictures of Blunt Thoracic Aortic Injury Classification

Current State Of Thoracic Endovascular Surgery
Current State of Thoracic Endovascular Surgery John S. Ikonomidis MD PhD FRCS(C) FACS FAHA FACC Baylor Classification: Thoracic Endografting for Type B (III) Dissection . B. is contraindicated for traumatic aortic injury ... Return Doc

Blunt Thoracic Aortic Injury Classification Photos

ComplexEsophagealInjuries - Society Of Thoracic Radiology
Esophageal injury classification : Mechanism Extra-luminal injury •Blunt or penetrating trauma •Thickening of esophageal wall due to hematoma or esophagitis indicates site of injury (likely distal thoracic esophagus / GE junction in this case –green arrows) ... Retrieve Here

Pictures of Blunt Thoracic Aortic Injury Classification

Rupture Of The thoracic Aorta And Its Relationship To Road ...
Rupture of the thoracic aorta and its relationship to the Collision Deformation Classification (1972). Velocity Clinical details of front-seat car occupants with rupture of the thoracic aorta 297 Aortic injury Site Extent Ascending 1. Partial 2. Complete Descending 1. Complete ... Content Retrieval

Blunt Thoracic Aortic Injury Classification Photos

Surgery Of The thoracic Aorta
Surgery of the thoracic aorta Emaddin S Kidher andrew Chukwuemeka Abstract jor challenge perioperatively is minimisation of ischaemic injury to end Classification of aortic dissection: Debakey and Stanford systems ... Read Document

Photos of Blunt Thoracic Aortic Injury Classification

Result Of Type A Dissecting aortic Aneurysms Surgical ...
Result of type a dissecting aortic aneurysms surgical treatment during the 3 years (2010 blunt aortic injury – in 2 (1,4%) cases, unknown– 5(3,4%); 96 (64,8%) patients had type I, others 52 (35,2%) – type II according De Bakey classification. The preoperative status included: acute ... Get Content Here

Images of Blunt Thoracic Aortic Injury Classification

Thoracic Injuries: From Conventional X-Ray To Multidetector CT
Spectrum of lesions to be assessed in thoracic trauma Have great medical importance, social and (aortic injury) Multiple rib fractures (flail rib, CLASSIFICATION OF ... Fetch Document

Pictures of Blunt Thoracic Aortic Injury Classification

Scripps IRB Application - Western Trauma
Scripps IRB Application: Initial Review Submission Study Title: Thoracic endovascular repair versus open surgery for blunt aortic injury Principal Investigator: Steven R. Shackford, MD, Patients with penetrating thoracic aortic injury . TEVAR p. 11 of 14 ... Get Document

Blunt Thoracic Aortic Injury Classification

Reporting Standards For thoracic Endovascular aortic Repair ...
CLASSIFICATION CRITERIA FOR THORACIC AORTIC PATHOLOGY Etiology—Blunt, penetrating Time from injury Clinicopathologic manifestations—Aneurysm, dissection, rupture, emboli be important in traumatic aortic injury, dissection, or even ... Read Content

Photos of Blunt Thoracic Aortic Injury Classification

CARDIOTHORACIC TRAUMA - Göteborgs Universitet
And classification of TEH, and depicts its clinical significance. Smith DC, Bansal RC, Razzouk A, Catalano RD. Angiography in blunt thoracic aortic injury. J Trauma 1997;42:665-669. 4. Aquino SL, Chiles C, Oaks T. Displaced extrapleural fat as revealed by CT scanning: evidence of ... Fetch Full Source

Vertebral Artery Dissection - Wikipedia, The Free Encyclopedia
Such as a blunt injury Traumatic vertebral dissection may follow blunt trauma to the neck, such as in a traffic collision, Thoracic aortic aneurysm; Aneurysm of sinus of Valsalva; Aortic dissection; Coronary artery aneurysm; head / neck. ... Read Article

Thoracic Aortic Valve Surgery

Venae Cavae Veins - Human Anatomy Resources
Oxygen depleted blood is returned to the heart again via the venae cavae. The superior vena cava is located in the upper chest region and is formed by the joining of the brachiocephalic veins. It is bordered by heart structures such as the aorta and pulmonary artery. ... Read Article

Thoracic Aortic Valve Surgery Photos

Slide 1
Thoracic Aortic Aneurysm. Thinning and dilitation of A Fusiform Aneurysm. A Saccular Aneurysm. Aortic Valve & Aortic Root & Ascending. Performed when patient is either symptomatic because of the aortic For patients unfit for surgery. Thoracic + Vascular surgeons. Spinal drain required ... Fetch Here

Mini-Sternotomy For Ascending Aortic Aneurysm And Bicuspid ...
A patient with an ascending aortic aneurysm and bicuspid aortic valve receives an aorta graft and valve repair through a minimally invasive incision. Eric Roselli MD and Gabriel Loor MD ... View Video

Photos of Thoracic Aortic Valve Surgery

Surgical Management Of Aortic Stenosis And Bicuspid Aortic ...
Aortic Stenosis and Bicuspid Aortic Valve in Pregnancy Joseph E. Bavaria, MD Brooks Roberts – William M. Measey Professor of Surgery. Vice Chief, Division of Cardiovascular Surgery. Director, Thoracic Aortic Surgery Program. University of Pennsylvania . Case Study #1 ... Retrieve Content

Aortic Cannulation And Decannulation : Cardiac Surgical ...
Cardiac Surgical Skills Laboratory Training Procedures: Aortic Cannulation and Decannulation Cardiac surgery training video from Wetlab Ltd www.wetlab.co.uk. ... View Video

Thoracic Aortic Valve Surgery Pictures


3 The ‘Less’ Aortic Valves WORKSHOP ‘Less’ aortic valve symposium is a two-days interactive workshop focused on stentless aortic prostheses, ... Fetch Document

Pulmonary Artery - Photo Of The Heart - About.com Education
This image shows the pulmonary artery extending from the right ventricle of the heart. Photo Credit: Image Courtesy of MedValet. Arteries are vessels that carry blood away from the heart. The pulmonary artery transports blood from the heart to the lungs. ... Read Article

Images of Thoracic Aortic Valve Surgery

Cardiothoracic Surgery - Englewood Hospital And Medical Center
Reputation in the management of thoracic aortic disease and a significant experience in less invasive thoracic endografting. repaired without the added morbidity of prosthetic valve replacement. Cardiothoracic Surgery at Englewood Hospital and Medical Center 0 10 20 30 40 50 60 70 80 90 100 ... Get Document

Thoracic Aortic Valve Surgery Pictures

Does Mitral Valve Repair Offer An Advantage Over Replacement ...
Does Mitral Valve Repair Offer an Advantage Over Replacement in Patients Undergoing Aortic Valve Replacement? Vinod H. Thourani, MD, Rakesh M. Suri, MD, DPhil, J. Scott Rankin, MD, Xia He, PhD, ... Fetch Content

Four Phases Of Cardiac Rehabilitation - About.com Health
There are four phases of cardiac rehabilitation. If you've had a severe cardiac injury or surgery, such as open heart surgery, your physical therapist may start working with you in the intensive care unit (ICU). ... Read Article

Images of Thoracic Aortic Valve Surgery

UW Medical Center Cardiac Surgery
UW Medical Center Cardiac Surgery . Urgent patient referral: 1.866.UWHEART or 206.598.6190. 1. Aortic Valve Surgery • UWMC performed more than 430 aortic valve replacements in treating thoracic aortic disease in 2006-2008, and 88 in 2008 alone. Thoracic stent graft. ... Fetch Full Source

Thoracic Aortic Valve Surgery Pictures

Reoperative Aortic Root Replacement In Patients With Previous ...
The 25 patients underwent reoperative aortic root recon-struction secondary to prosthetic valve endocarditis. Six patients with a history of previous aortic root homograft ... Fetch Here

Thoracic Aortic Valve Surgery Photos

One Stage Surgical Treatment Of aortic valve Disease And ...
One stage surgical treatment of aortic valve disease and aortic coarctation with aortic bypass grafting through the diaphragm and aortic valve replacement Zipu Yu, Department of Cardiovascular and Thoracic Surgery, the First Affiliated Hospital, College of Medicine, Zhejiang University ... Access Doc

Thoracic Aortic Valve Surgery

Bioprosthetic valve Cardio-thoracic surgery - EACTS
8 Monday 13 October 2014 EACTS Daily News afterulmonary p vein isolation concomitant with aortic valve replacement and/or coronary artery ... Access Full Source

Images of Thoracic Aortic Valve Surgery

Aortic Valve Replacement In The Elderly: The Real Life
Aortic Valve Replacement in the Elderly: The Real Life Thierry Langanay, MD, FETCS, Erwan Flécher, MD, Olivier Fouquet, MD, Vito Giovanni Ruggieri, MD, Bertrand De La Tour, MD, Christian Félix, MD, ... Get Doc

Pictures of Thoracic Aortic Valve Surgery

Aortic Valve And Ascending Aorta Guidelines For ... - STS
Aortic Valve and Ascending Aorta Guidelines for Management and Quality Measures: provide technical guidelines for aortic valve and aortic surgery; (4) undergoing surgery for thoracic aortic disease. ... Doc Viewer

Thoracic Aortic Valve Surgery

Reconstructive surgery For aortic valve Stenosis
ORAL PRESENTATION Open Access Reconstructive surgery for aortic valve stenosis Z Mitrev*, T Anguseva, E Stoicovski, N Hristov, E Idoski From 23rd World Congress of the World Society of Cardio-Thoracic Surgeons ... Content Retrieval

Photos of Thoracic Aortic Valve Surgery

Surgery The Thoracic Aorta - Bologna
The Thoracic SCIenTIfIC ProGrAMMe Monday 11th november 2013 7.30 Participants’ registration 8.15 Welcome addresses 8.30-13.00 AORTIC VALVE DISEASE. ASCENDING AORTIC ANEURYSMS. ... Fetch Here

Thoracic Aortic Valve Surgery Pictures

DOI:€10.1161/CIRCULATIONAHA.108.790030
Aortic Valve Bypass Surgery Midterm Clinical Outcomes in a High-Risk Aortic Stenosis Population James S. Gammie, MD; Leandra S. Krowsoski, BA; James M. Brown, MD; Patrick N. Odonkor, MD; ... Retrieve Full Source

Images of Thoracic Aortic Valve Surgery

Aortic Valve Repair - American Association For Thoracic ...
Aortic Valve Repair H.-J. Schäfers Dept. of Thoracic and Cardiovascular Surgery Saarland University Medical Center Homburg/Saar, Germany Financial disclosure: none ... Retrieve Document

Thoracic Aortic Valve Surgery

Aortic Valve Replacement Surgery: Comparison Of Outcomes In ...
Aortic Valve Replacement Surgery: Comparison of Outcomes in Matched Sternotomy and PORT ACCESS Groups William T. Brinkman, MD, William Hoffman, MD, Todd M. Dewey, MD, ... Access Doc

Photos of Thoracic Aortic Valve Surgery

Procedures On Thoracic Aorta - Centers For Medicare And ...
Procedures on Thoracic Aorta . Sean P Roddy, MD . CPT Advisor, Society for Vascular Surgery . Chair, SVS Health Policy Committee . September 19, 2012 . 2 Revise the current Body Part value for Thoracic Aorta aortic valve, and runs to the mid-abdomen where it bifurcates into the common ... Doc Retrieval

Images of Thoracic Aortic Valve Surgery

Surgery The Thoracic Aorta - Bologna
Surgery The Thoracicof LIVE SURGERY SESSION VIDEO SESSION from the Operating Room of the S. Orsola Hospital related to the topic of the course OVERVIEW OF THE PROGRAMME aortic Valve Sparing Procedures and Repair Minimally Invasive aortic Valve Replacement ... Fetch Document

Pictures of Thoracic Aortic Valve Surgery

Familial Thoracic Aortic Aneurysm And Dissection
A thoracic aortic aneurysm is an enlargement of the aorta in the thoracic cavity (chest area), which is the first part of the artery that takes blood away from the heart. ... Fetch Document

Thoracic Aortic Valve Surgery Pictures

Surgical Management Of Endocarditis: The Society Of Thoracic ...
Cardiovascular-Thoracic Surgery, Rush University Medical Center, Chicago, ditis,” “aortic valve surgery,” “mitral valve surgery, SURGICAL MANAGEMENT OF ENDOCARDITIS 2011;91:2012–9 REPORT. 10. Moon MR, Miller DC, ... View Document

Cardiothoracic Anesthesiology - Wikipedia, The Free Encyclopedia
Cardiothoracic anesthesiology is a subspeciality of (CABG) both on cardiopulmonary bypass as well as on a beating heart, heart valve surgery, aortic reconstruction requiring deep hypothermic arrest, mechanical ventricular assist device (VAD) placement, thoracic aortic aneurysm repair ... Read Article

Nursing Care For Thoracic Aortic Aneurysm

Aortic Aneurysm - Cardiology PowerPoint Presentation
Cardiology, neurology,nephrology, GI, etc. This is a cardiology / general medicine PowerPoint presentation about Aortic aneurysm. Category Education; Aortic Aneurysm - For Nursing Students & Nurses Stanford Health Care 12,585 views. 4:14 ... View Video

Nursing Care For Thoracic Aortic Aneurysm

Update In Nursing Management Of Cardiac Surgery Patients
Nursing management of Cardiac surgery patients Laddawan Tejangkura CVT Department of Nursing Rajavithi Hospital. The Role of Nursing 1. Assessment and Care / Services assessment and care • Abdominal/Thoracic aneurysm • Mod. to Severe Aortic insufficiency • Generalize/Peripheral ... Fetch Document

Nursing Care For Thoracic Aortic Aneurysm Pictures

Aortic Aneurysm - University Of Babylon
Thoracic aortic aneurysm Dissecting aneurysm of the aorta. Nursing management 1. Administer medications, Implement nursing care for the client undergoing surgery to repair aneurysms ... Fetch Doc

Photos of Nursing Care For Thoracic Aortic Aneurysm

Endovascular Aneurysm Repair Patient Information
Endovascular Aneurysm Repair Patient Information Intensive Care Unit. Following open surgical repair you would routinely be For further information on abdominal aortic aneurysm and EVAR: National Institute for Clinical Excellence ... Document Retrieval

Images of Nursing Care For Thoracic Aortic Aneurysm

NANDA NURSING DIAGNOSIS - Alzheimer Internacional 2011
INFORMATION FOR PATIENTS WHO REQUIRE AN ABDOMINAL AORTIC ANEURYSM REPAIR WITH A Repair of large or symptomatic and Thoracic Surgery (N Sakalihas File name: IAR-101001235657Care-fee-rates-paid-for-the-provision-of-residential-and-nursing-placements-for-the-care-services-of-Older- ... Document Retrieval

Nursing Care For Thoracic Aortic Aneurysm

MEDICAL SURGICAL NURSING II - Bakersfield College
MEDICAL SURGICAL NURSING II. Describe the preoperative and postoperative nursing care of clients having vascular surgery. Nursing Implications for Peripheral Vascular Disorders Aneurysm. Thoracic aortic aneurysms. Long-term beta-blockers. ... Get Content Here

Photos of Nursing Care For Thoracic Aortic Aneurysm

Chapter 38
Nursing care. Aneurysms of Central Thoracic aortic aneurysm. Arterial Aneurysms. Assessment of Abdominal Aortic Aneurysm (AAA) Pain related to AAA is usually steady with a gnawing quality, is unaffected by movement, and may last for hours or days. Chapter 38 Last modified by ... Access Full Source

Images of Nursing Care For Thoracic Aortic Aneurysm

Scope Of Service CARDIAC SURGICAL INTENSIVE CARE UNIT (CSICU)
The Cardiac Surgical Intensive Care Unit provides nursing care for adult and pediatric patients • Thoracic Aortic Aneurysm Repair • Two years Critical Care Nursing with at least one of the two years in CSICU or equivalent ... Read Here

Aortic Dissection And aneurysm - YouTube
Aortic dissection and aneurysm Giulianna Loffredo. Subscribe Subscribed Unsubscribe 0 0. Loading Aurora Health Care 7,297 views. 3:53 2015 Sept 30 Thoracic Aortic Aneurysm and Dissection Awareness Month - Duration: ... View Video

Images of Nursing Care For Thoracic Aortic Aneurysm

ClinicalArticle Nursing Care Of Patients Receiving Intra ...
The same intense and expert nursing care required by all critically ill patients. In thoracic part of the aorta just distal to the origin of the left Stavarski D. Complications of intra-aortic balloon pumping. Crit Care Nurs Clin North Am. 1996;8:409-421. 5. Davidson J, Baumgariner F ... View Doc

Nursing Care For Thoracic Aortic Aneurysm Pictures

Adult Medical-Surgical Nursing 1 - Medsurgnursing.co.uk
Adult Medical-Surgical Nursing nursing care in ICU Vital signs and nursing records: Diagnosis Aortic Aneurysm: Management Aortic Aneurysm: Surgery Nursing Responsibilities Surgical Nursing Responsibilities ... Content Retrieval

Pictures of Nursing Care For Thoracic Aortic Aneurysm

Society For Vascular Nursing (SVN) - Kent State University
Abdominal Aortic Aneurysm Clinical Practice Guideline-Endovascular Repair Thisevidence basedclinicalpracticeguidelinewasdeveloped by the Society for Vascular Nursing (SVN) who is the authority nursing care of the vascular patient; p.127-152. 3. AORN. 2005. 4. ... Read Full Source

Nursing Care For Thoracic Aortic Aneurysm Images

UCLA Symposium On Aortic Disease: ACUTE AORTIC SYNDROMES
And multidisciplinary approaches to management and care of patients with aortic disease. Course Description Course Objectives Thoracoabdominal Aortic Aneurysm Murray Kwon, MD 10:00 UCLA Symposium on Aortic Disease, 10920 Wilshire Blvd., Suite 1060, Los Angeles, ... Read Full Source

Nursing Care For Thoracic Aortic Aneurysm Images

SARASOTA MEMORIAL HOSPITAL NURSING DEPARTMENT POLICY - SMH.COM
SARASOTA MEMORIAL HOSPITAL NURSING DEPARTMENT POLICY TITLE: ADMISSION/DISCHARGE CRITERIA: c. Thoracic aortic aneurysm repair. Administration and Nursing Care of Adult Patients Receiving Cardiovascular and/or Vasoactive ... View Full Source

Nursing Care For Thoracic Aortic Aneurysm

Changing Trends In The Management Of Abdominal And Thoracic ...
Changing Trends in the Management of Abdominal and Thoracic Aortic Aneurysms Cardiac, Vascular & Thoracic Surgery Associates, P.C., 2921 Telestar Court, Falls Church, VA 22042, USA An aneurysm is a focal surgical technique, and critical care understanding. Thoracicaorticaneurysms(TAA ... Fetch Full Source

Nursing Care For Thoracic Aortic Aneurysm

Clinical Competence Statement On thoracic Endovascular aortic ...
Consensus standards of care designed to ensure patient safety and optimal outcomes. Therefore, treatment of descending thoracic aortic aneurysm. N Engl J Med 1994;331:1729-34. 2. Mitchell RS, Miller DC, Dake MD, Semba CP, Moore KA, Sakai T. ... Doc Viewer

Nursing Care For Thoracic Aortic Aneurysm

Intra Aortic Balloon Pump - Cardiovascular Nursing Education ...
Intra Aortic Balloon Pump Karen Marzlin DNP, RN, CCNS, CCRN, CMC – Descending thoracic aorta – 1 to 2 cm below the subclavian artery origin Dissecting Aortic Aneurysm – Relative 2011 CNEA / Key Choice . ... Fetch This Document

What Is An Aortic Aneurysm? - YouTube
Just what is an aortic aneurysm? Aurora St.Luke's Medical Center Thoracic & Abdominal aneurysm - Duration: 24:18. Aurora Health Care 72 views. Aortic Aneurysm - For Nursing Students & Nurses!! - Duration: 9:06. EmpoweRN 16,711 views. ... View Video

Nursing Care For Thoracic Aortic Aneurysm Photos

Aortic Emergencies - Present.me
Thoracic Aortic Aneurysm. Care of the client with an open chest procedure to repair an aneurysm in the aortic root, ascending, ... Content Retrieval

Extracorporeal Membrane Oxygenation - Wikipedia, The Free ...
In intensive care medicine, extracorporeal membrane oxygenation (ECMO) or extracorporeal life support Aortic aneurysm / dissection: Endovascular aneurysm repair; Open aortic surgery; Other: Cardiopulmonary bypass; Cardioplegia; Extracorporeal membrane oxygenation; ... Read Article

Nursing Care For Thoracic Aortic Aneurysm Pictures

Thoracic Or Thoracoabdominal Approaches To Endovascular ...
Thoracic or Thoracoabdominal Approaches to Endovascular Device Removal and Open nursing home and did not include hospital-to-hospital Thoracic aortic aneurysm clini-cally pertinent controversies and uncertainties. J Am Coll Cardiol 2010;55:841–57. 22. ... Doc Retrieval

Nursing Care For Thoracic Aortic Aneurysm Photos

Clinical Practice Guidelines For Endovascular Abdominal ...
Clinical Practice Guidelines for Endovascular Abdominal Aortic Aneurysm Repair: Written by the Standards of Practice Committee for the Society of Interventional ... Fetch Content

Images of Nursing Care For Thoracic Aortic Aneurysm

ENDOVASCULAR REPAIR OF DESCENDING THORACIC AORTIC ANEURYSM ...
ENDOVASCULAR REPAIR OF DESCENDING THORACIC AORTIC ANEURYSM UNIVERSITY OF VIRGINIA HEALTH SYSTEM HOSPITAL CHARLOTTESVILLE, VIRGINIA resident [Kathy Starter]. The nursing OR team includes Karen Love, Connie and one option is if you can really control and take care of and expose that iliac ... Access Doc

What Are Enlarged Retroperitoneal Lymph Nodes?
How are retroperitoneal lymph nodes affected in lymphoma? About.com. Food; Health; Home; Money; Style; Tech; Travel; More Autos; Dating & Relationships; Education; That lymph node might be called a thoracic lymph node, a mediastinal lymph node or a periaortic lymph node ... Read Article